Deep Bite

Traumatic occlusion (or a bad bite) is the result of misalignment of the teeth and jaws, often caused by genetics, but can also be due to teeth crowding, bad, worn or decayed teeth, and poor or failing dental work and missing teeth, particularly missing back teeth. Habits such as thumb sucking, clenching or grinding teeth (bruxism) can also contribute to causing such problems.

Missing back teeth in an adult can create or exacerbate a ‘deep bite’ leading to collapse of the bite and lower face, giving a more aged appearance.

Out of all the bite disorders, a deep bite is the most detrimental to the teeth and health of the jaw joints. It also has an impact on facial aesthetics with wearing of the behind teeth reducing the facial height and increasing wrinkle lines and aged appearance.

Although it may appear as merely an aesthetic issue, a bad bite is in fact far more serious; it can lead to significant damage to the teeth and gums as well as headaches and temporomandibular joint (TMJ) disorders.

A deep bite is a condition where your upper front teeth bite too deeply over the lower front teeth.

Why Treat Deep Bite?

Unlike other diseases/dental conditions, which have an immediate symptom of pain, Traumatic occlusion and/or Deep bite is more of a silent disease like cancer in that it results in a series of small seemingly insignificant changes which occur slowly over a period of time resulting in irreversible changes recognized first as an all of a sudden generalized sensitivity when most of the damage has already occurred.

Features of Deep Bite

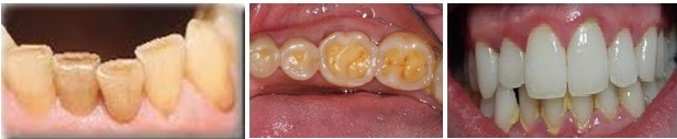
Initial stages : one can notice wear of the lower front teeth seen as a flattening of the surface, craze lines/thin fracture lines in the front teeth along with accumulation of deposits and bleeding of gums mainly in the lower front teeth. As the upper teeth bite totally over the lower teeth, the function of your teeth will be poor especially when chewing food.

If left to progress, the top edge of the lower teeth will often wear very early and extensively and sometimes even upper teeth wear, resulting in generalized sensitivity. Sudden Chipping off of teeth, regular bleeding of gums noticed esp. while brushing are seen. Also with time, the gum behind the upper teeth and in front of the lower teeth can get damaged due to the top edges of teeth biting into the gums called gingival recession. Your smile can also be affected by this condition, as the upper teeth can wear on their chewing surfaces overtime, gums look unaesthetic. This can be a very serious issue and often leads to loss of the front teeth. Bad breath may be noticed as a side effect of the gum disease and deposits in the teeth.

Advanced stage : causes excessive wear to your teeth presenting as generalized sensitivity in all teeth and pain in severely affected teeth, gingival recession and TMJ pain (pain in jaw joints and muscles).

Treatment of Deep Bite by Cosmetic Crown

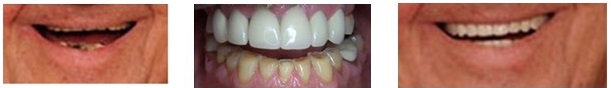
A deep bite, even in adults, can be corrected these days with one of the many effective restorative treatment options

Treatment involves raising the bite to establish a correct bite by placing crowns on the behind teeth and replacing any missing teeth so that the chewing forces are distributed equally

If front teeth are already damaged [worn /chipped], metal free crowns or laminates may be placed for esthetics. Simple gum cleaning (scaling) may be required.

In advanced stages; where patients come with pain, generalized sensitivity and gum recession (chewing away of gums); along with crowns on the back teeth, those teeth with pain may require root canal therapy and the front teeth will also require crowns. Additionally, gum surgery would be required where indicated.

Cost of Treatment

The cost of the treatment depends on the quality of crowns we choose to increase the bite and number of teeth involved in raising the bite.

Night guard (a protective template) is given more as a preventive therapy for monitoring in the earlier stages, when no damage has occurred as yet. Though it does not treat, it significantly delays the progress of the disease and prevents jaw joint (TMJ) and muscle pain from occurring. When detected at a younger age, before attrition of the teeth has occurred, it can be corrected by moving the teeth to a stable correct position using braces and/or anterior bite plane also called Orthodontic treatment.

Quick Links

Get In Touch

2nd shop, 2nd floor, 1108, Sarjapur - Marathahalli Rd, opp. to Indian oil petrol pump, above lifeline pharmacy, Sarjapura, Bengaluru, Karnataka 562125

elitedentals9765@gmail.com

63663 63783

Follow Us

© Elite Dentals. All Rights Reserved.