Spacing

Spacing

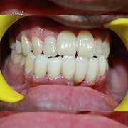
Diastema is a space or gap between two teeth. The term is most commonly applied to an open space between the upper incisors (front teeth).

Cause

Diastema occurs when there is an unequal relationship between the size of the teeth and the jaw. It is sometimes caused or exacerbated by the action of a labial frenulum (the tissue connecting the lip to the gum),by tongue thrusting or spreading of teeth due to periodontal diseases.

Treatment

There are two options of treating diastema or spacing in between the teeth:

First involves orthodontically moving the teeth(braces) and this line of treatment usually requires 10-12 months for correction.

Second involves placement of porcelain veneers or metal free crowns.
Porcelain veneers are eggshell thin pieces of porcelain applied directly over the tooth structure after some initial tooth preparation. Once the porcelain veneers are fused to the underlying tooth structure, they can reestablish the look of straight teeth and can close spaces without the use of braces. Additionally, the color, shape, and size of the teeth can be altered to the wishes of the patient for overall smile enhancement. And the greatest advantage of porcelain veneers is that the treatment can be completed in only two painless visits.

Quick Links

Get In Touch

2nd shop, 2nd floor, 1108, Sarjapur - Marathahalli Rd, opp. to Indian oil petrol pump, above lifeline pharmacy, Sarjapura, Bengaluru, Karnataka 562125

elitedentals9765@gmail.com

63663 63783

Follow Us

© Elite Dentals. All Rights Reserved.