Dental Fluorosis

Dental Fluorosis

Dental fluorosis is referred as the change in tooth’s appearance. The reason for this is overexposure to fluoride. The fluoride overexposure’s risk occurs between 3 months to 8 years of ages. The occurrence of Enamel fluorosis is due to permanent teeth forming under the gums. Once these teeth break through the gums, these cannot develop enamel fluorosis. The stains and spots left by fluorosis remain permanent and also might darken over time.

Cause: The main reason is water fluoridation and is normally an esthetic problem. Severe cases are caused by exposure to water with natural fluoridated exceeding above the recommended levels, or exposure to other fluoride sources like brick tea or high fluoride coal pollution. Other reasons are use of fluoridated mouthrinse and tooth pastes, bottled waters not tested for fluoride content, inappropriate fluoride supplements usage, ingestion of foods particularly imported from other countries, and public water fluoridation.

The dental fluorosis severity depends upon the amount of fluoride exposure, the child’s age, individual response, degree of physical activity, weight, nutrition, and bone growth.

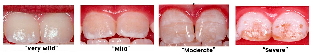
Types :
Treatment:

Dental fluorosis is cosmetically treatable.
Different treatment options include: tooth bleaching, microabrasion, and conservative composite restorations or porcelain veneers are generally used treatments. Generally speaking, microabrasion and bleaching are utilized for superficial staining, while the conservative restorations are utilized for more unaesthetic situations such as severe fluorosis.

Micro abrasion and Tooth bleaching:
Conservative restorations and porcelain veneers:

Patient with moderate fluorosis. Front six teeth were treated with cosmetic veneers to cover fluoride staining.

Quick Links

Get In Touch

2nd shop, 2nd floor, 1108, Sarjapur - Marathahalli Rd, opp. to Indian oil petrol pump, above lifeline pharmacy, Sarjapura, Bengaluru, Karnataka 562125

elitedentals9765@gmail.com

63663 63783

Follow Us

© Elite Dentals. All Rights Reserved.