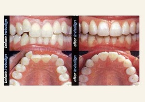
Mal alignment of the teeth are the primary concern of people these days primarily because of the aesthetic look.
This treatment helps to align all the teeth in a proper position. This takes care of your functional as well as your aesthetic concerns.
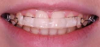
It is performed using brackets and braces.
Orthodontic treatment requires minimum of 8-10 months to align the teeth.
In some cases requiring only aligning of teeth with latest treatment modalities , duration can be shortened to 3-6 months.
2nd shop, 2nd floor, 1108, Sarjapur - Marathahalli Rd, opp. to Indian oil petrol pump, above lifeline pharmacy, Sarjapura, Bengaluru, Karnataka 562125
elitedentals9765@gmail.com
63663 63783
© Elite Dentals. All Rights Reserved.
Designed by AccentNext Technologies